
Research Project
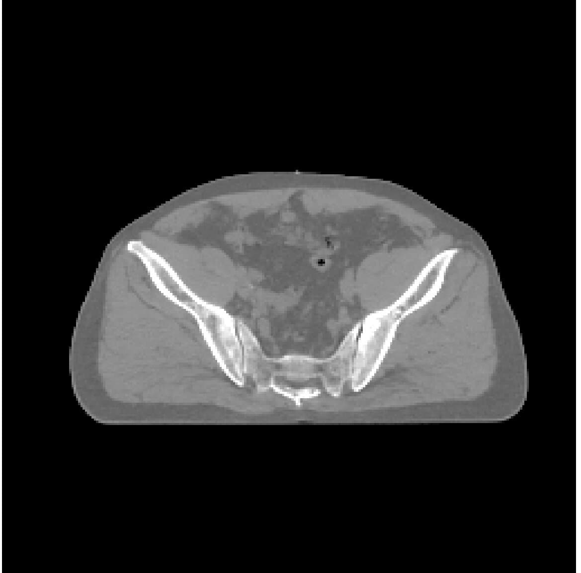
CycleDPM is a dual-stage diffusion model framework for anatomy-preserving CBCT-to-CT image synthesis, designed for adaptive radiation therapy. CBCT images suffer from noise and scatter artifacts that degrade their clinical utility, and CycleDPM corrects these artifacts to synthesize high-quality CT images directly from CBCT scans.
A dedicated encoder and fusion block integrate input-image features while preserving fine anatomical structures. A reduced-time sampling strategy also addresses the slow inference speed usually associated with diffusion models.
The method achieves state-of-the-art quantitative results with MAE: 67 -> 46.9 [HU] and SSIM: 0.845 -> 0.902, outperforming GAN-based baselines. The work was presented at ICNGC 2025 and is currently being prepared for broader publication.
Compare the original CBCT slice with the synthesized CT output using a draggable divider and a direct slider control.


Use the handle or the range control to compare CBCT and synthesized CT.
Technologies
PyTorch
DDPM
U-Net
GAN
Medical Imaging
Python
Results
MAE: 67 -> 46.9 [HU]
SSIM: 0.845 -> 0.902
Outperforms GAN baselines